Giang mai là một căn bệnh lây truyền qua đường tình dục (STI) đáng lo ngại, gây ra những ảnh hưởng nghiêm trọng đến sức khỏe nếu không được phát hiện và điều trị kịp thời. Một trong những câu hỏi mà nhiều người mắc bệnh hoặc nghi ngờ mình mắc bệnh quan tâm là liệu săng giang mai có ngứa không.
Sự nhầm lẫn với các bệnh da liễu thông thường, cùng với khả năng các triệu chứng ban đầu tự biến mất, khiến nhiều người chủ quan và bỏ lỡ giai đoạn điều trị vàng. Bài viết này sẽ đi sâu vào giải đáp thắc mắc này, cung cấp thông tin chi tiết về các giai đoạn của bệnh, biểu hiện của săng giang mai và cách thức phòng tránh, điều trị hiệu quả.
Tìm hiểu về Săng Giang Mai và Cảm Giác Ngứa
Câu hỏi săng giang mai có ngứa không là mối bận tâm chung của không ít người khi đối mặt với những dấu hiệu bất thường trên cơ thể. Giang mai, do xoắn khuẩn Treponema pallidum gây ra, có thể gây ra nhiều biến chứng nguy hiểm nếu không được can thiệp y tế. Chính vì vậy, việc hiểu rõ các biểu hiện của bệnh, đặc biệt là các triệu chứng ban đầu như săng giang mai, là vô cùng quan trọng.
Sự phức tạp của bệnh giang mai nằm ở chỗ nó tiến triển qua nhiều giai đoạn khác nhau, và biểu hiện ở mỗi giai đoạn, cũng như ở mỗi cá nhân, có thể rất khác biệt. Điều này lý giải tại sao không có một câu trả lời tuyệt đối cho câu hỏi liệu săng giang mai có ngứa không.
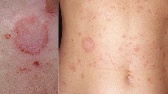
Giai đoạn Săng Giang Mai: Biểu Hiện và Cảm Giác
Giai đoạn đầu tiên của bệnh giang mai thường được đánh dấu bằng sự xuất hiện của một vết loét gọi là săng giang mai. Đây là dấu hiệu đặc trưng nhất của bệnh trong giai đoạn này. Tuy nhiên, điều quan trọng cần lưu ý là không phải tất cả các trường hợp săng giang mai đều đi kèm với cảm giác ngứa.
Trong phần lớn các trường hợp, săng giang mai ban đầu không gây ra bất kỳ cảm giác khó chịu nào, bao gồm cả ngứa hoặc đau rát. Vết loét này thường có hình tròn hoặc bầu dục, nông, màu đỏ tươi, và có đáy sạch, không có mủ. Kích thước của săng giang mai có thể dao động từ vài milimet đến vài centimet. Một đặc điểm đáng chú ý khác là săng giang mai thường không đau, và đôi khi có thể bị nhầm lẫn với các vết trầy xước nhỏ hoặc vết côn trùng cắn.
Điều đáng nói là, các triệu chứng của giai đoạn này có thể tự biến mất sau vài tuần mà không cần bất kỳ biện pháp điều trị nào. Chính sự “biến mất” này lại vô tình tạo ra tâm lý chủ quan cho người bệnh, khiến họ lầm tưởng rằng bệnh đã khỏi hoặc không nghiêm trọng. Tuy nhiên, đây là lúc xoắn khuẩn giang mai đang âm thầm phát triển và tấn công sâu vào các cơ quan nội tạng, chuẩn bị cho các giai đoạn nguy hiểm hơn.
Khi nào Săng Giang Mai có thể gây ngứa hoặc đau?
Mặc dù giai đoạn đầu của săng giang mai thường không ngứa, nhưng khi bệnh tiến triển sang giai đoạn thứ hai, các triệu chứng có thể trở nên rõ ràng hơn và đôi khi đi kèm với cảm giác khó chịu.
Trong giai đoạn hai của bệnh giang mai, các vết loét hoặc phát ban có thể xuất hiện ở nhiều vùng khác nhau trên cơ thể, bao gồm cả các khu vực nhạy cảm như bộ phận sinh dục (âm đạo, dương vật), vùng hậu môn, hoặc trong khoang miệng, trên lưỡi. Tại những vị trí này, các vết loét có thể gây ra cảm giác đau rát, đặc biệt là khi thực hiện các hoạt động như vệ sinh cá nhân, quan hệ tình dục hoặc ăn uống.
Một số trường hợp hiếm gặp, ngay cả ở giai đoạn đầu, săng giang mai cũng có thể gây ra cảm giác ngứa nhẹ hoặc khó chịu, đặc biệt nếu vùng da bị ảnh hưởng bị kích ứng hoặc nhiễm trùng thứ phát. Tuy nhiên, đây không phải là biểu hiện điển hình và cần được bác sĩ chuyên khoa đánh giá.
Quan Trọng của Việc Thăm Khám Chuyên Khoa
Việc xác định chính xác liệu săng giang mai có ngứa không là rất khó khăn nếu chỉ dựa vào triệu chứng ban đầu. Như đã phân tích, biểu hiện của bệnh giang mai ở mỗi người là không giống nhau. Do đó, sự chủ quan có thể dẫn đến những hậu quả nghiêm trọng.

Để đảm bảo an toàn và có được chẩn đoán chính xác, việc kiểm tra sức khỏe định kỳ và theo dõi sát sao các dấu hiệu bất thường là vô cùng cần thiết. Nếu bạn nghi ngờ mình có thể đã mắc bệnh giang mai hoặc có bất kỳ vết loét, phát ban nào không rõ nguyên nhân, hãy tìm đến sự tư vấn và thăm khám của các bác sĩ chuyên khoa. Chỉ có các chuyên gia y tế mới có đủ kiến thức và công cụ để đưa ra chẩn đoán chính xác và phác đồ điều trị phù hợp, giúp ngăn chặn hiệu quả tình trạng lây lan và đẩy lùi bệnh tật.
Cách Điều Trị và Phòng Tránh Bệnh Giang Mai Hiệu Quả
Sau khi đã hiểu rõ hơn về vấn đề săng giang mai có ngứa không và nhận thức được tầm quan trọng của việc chẩn đoán sớm, bước tiếp theo mà người bệnh cần tập trung là tìm hiểu về các phương pháp điều trị và phòng tránh bệnh.
Quy Trình Điều Trị Bệnh Giang Mai Toàn Diện
Khi đã được chẩn đoán xác định mắc bệnh giang mai, việc điều trị càng sớm càng tốt là yếu tố quyết định sự thành công. Các chuyên gia y tế khuyến cáo người bệnh nên đến các cơ sở y tế chuyên khoa uy tín để được thăm khám, xét nghiệm và hỗ trợ điều trị.
Phương pháp điều trị bệnh giang mai hiện nay thường là sự kết hợp giữa y học hiện đại (Tây y) và y học cổ truyền (Đông y). Phác đồ điều trị bằng thuốc kháng sinh đặc hiệu là nền tảng để tiêu diệt xoắn khuẩn giang mai. Tuy nhiên, việc kết hợp với các phương pháp Đông y có thể giúp bồi bổ cơ thể, tăng cường sức đề kháng, hỗ trợ quá trình phục hồi và ngăn ngừa bệnh tái phát hiệu quả hơn.
Một trong những liệu pháp tiên tiến và hiệu quả hàng đầu trong điều trị giang mai, đặc biệt là các trường hợp bệnh nặng, là liệu pháp cân bằng miễn dịch. Liệu pháp này, ví dụ như liệu pháp kích thích cân bằng miễn dịch DNA, hoạt động bằng cách phá hủy nguồn cung cấp dinh dưỡng cho xoắn khuẩn giang mai, từ đó tiêu diệt chúng một cách nhanh chóng. Đồng thời, liệu pháp này còn tác động trực tiếp lên các tế bào bị tổn thương, thúc đẩy quá trình phục hồi chức năng và tái tạo mô.
Phòng Bệnh Hơn Chữa Bệnh: Các Biện Pháp Phòng Ngừa Hiệu Quả
“Phòng bệnh hơn chữa bệnh” là lời khuyên luôn đúng trong mọi hoàn cảnh, và giang mai cũng không ngoại lệ. Để tránh những hậu quả nghiêm trọng về sức khỏe, cũng như tiết kiệm thời gian và chi phí điều trị, việc nâng cao ý thức phòng tránh là vô cùng quan trọng.
- Quan hệ tình dục an toàn: Đây là biện pháp phòng ngừa hiệu quả nhất. Duy trì lối sống lành mạnh, chung thủy một vợ một chồng và luôn sử dụng bao cao su khi quan hệ tình dục là cách tốt nhất để giảm thiểu nguy cơ lây nhiễm.
- Vệ sinh cá nhân: Thường xuyên vệ sinh sạch sẽ bộ phận sinh dục bằng nước sạch và dung dịch vệ sinh chuyên dụng. Tránh dùng chung các vật dụng cá nhân có khả năng lây nhiễm như bàn chải đánh răng, dao cạo râu, khăn tắm, quần áo cá nhân.
- Nâng cao sức khỏe tổng thể: Luyện tập thể dục thể thao đều đặn giúp tăng cường sức khỏe, nâng cao sức đề kháng của cơ thể, giúp cơ thể chống lại các tác nhân gây bệnh tốt hơn.
- Kiểm tra sức khỏe định kỳ: Thực hiện kiểm tra sức khỏe định kỳ, ít nhất 6 tháng một lần, là cách để phát hiện sớm các dấu hiệu bệnh tật, bao gồm cả giang mai, và có biện pháp xử lý kịp thời.
Nếu bạn còn bất kỳ thắc mắc nào về săng giang mai có ngứa không hoặc các vấn đề liên quan đến bệnh giang mai, đừng ngần ngại tìm đến sự hỗ trợ từ các chuyên gia. Phòng khám đa khoa Thủ Dầu Một tự hào là địa chỉ y tế uy tín, cung cấp các dịch vụ tư vấn và điều trị bệnh giang mai hiệu quả. Bạn có thể liên hệ qua hotline 0908 522 700 (Zalo) để được hỗ trợ tốt nhất.
